Skip Navigation
Skip to contents
  • 학회 홈페이지
  • 메뉴 닫기
class="main" >

대한산부인과초음파학회 24호 소식지

  • 발행인: 박인양
  • 편집인: 이경아
  • 발행: 대한산부인과초음파학회

HOT TOPIC

설현주
2024 ISUOG new guideline: Third trimester ultrasound 설현주 (경희의대)

ISUOG의 제3삼분기 초음파 가이드라인은 태반, 태아신체계측, 태아기형, 양수량, 도플러 검사에 대한 진료지침을 제공하고 있는데, 제3삼분기 가이드라인에서는 특히 태반 평가의 중요성을 강조하고 있습니다. 이번 hot topic에서는 태반 초음파에 대한 권고사항을 소개하도록 하겠습니다.

  1. Placenta previa
    태반 위치를 확인하는 것은 제3삼분기 초음파의 기본 사항입니다. 특히 임신 중기에low-lying placenta나 placenta previa로 확인된 경우 제3삼분기에 반드시 태반의 위치를 재평가해야 하는데, 자궁절개수술력이 있는 경우는 28주경에 검사하는 것이 권장됩니다. 질초음파는 양성예측도 99%, 음성예측도 98%로 전치태반을 확인하는데 매우 유용한 검사로 이때 자궁경부길이를 함께 측정하면 제왕절개 시기를 결정하는데 도움이 됩니다. 한 연구에 의하면 전치태반이면서 자궁경부길이가 3.1 cm 이하로 짧았던 경우34주 이전에 심한 출혈로 분만할 위험성이 높았다고(odds ratio 16.4 (95% CI, 3.4–75.9) 보고된 바 있습니다. 태반이 자궁경부2 cm 이상 떨어져 있으면 질분만을 안전하게 시도할 수 있습니다.
  2. Placenta accreta spectrum
    이전 제왕절개술 등 자궁절개술을 받은 임신부에서 전치태반이 관찰되면 반드시 태반유착에 대한 자세한 평가를 하여야 합니다(그림1). 또한 ISUOG에서는 자궁절개수술력이 있는 임신부의 전치태반은 모두 잠재적인 중증 태반유착으로 간주하고, 초음파소견과 무관하게 이에 대한 처치가 가능한 기관으로 산모를 전원하도록 권유하고 있습니다(Good practice point). 자궁근종절제술 및 자궁뒷벽 절개 등 흔하지 않은 수술 부위에 태반이 위치하여 초음파 확인이 어렵거나, 심한 태반유착과 함께parametrial invasion이 의심되는 등 초음파검사로 태반유착의 평가가 어려울 경우 반드시 MRI검사로 태반유착을 확인하도록 권고하고 있습니다.

    그림 1. Placenta accreta spectrum. 방광벽에 인접한 태반(왼쪽)과 불규칙한 uterovesical interface 및 placenta lacunae가 관찰(오른쪽). from ISUOG practice guidelines

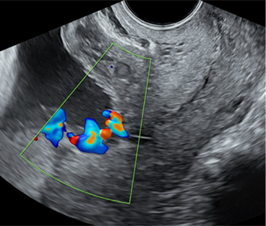
  3. Vasa previa
    전치혈관은 막에 싸여 있지 않은 제대동맥 혹은 정맥이 자궁경부내구 주위(< 20 mm)에 위치하는 것으로 정의하며 산전에 진단되면 주산기 생존율이 100%이지만 산전진단되지 않은 경우 주산기 사망률이 56%에 이를 정도로 산전진단이 중요합니다(그림2). 진단은 질초음파로 자궁경부내구 근처에 혈관이 있는지 컬러도플러를 확인하여 민감도 100%로 쉽게 확인할 수 있으므로 위험인자가 있는 임신부에서 검사를 시행하는 것이 권장됩니다. 전치혈관의 위험인자는 전치태반, second trimester low-lying placenta, bilobed placenta, succenturiate placenta, 다태임신 등입니다. 임신 중기에 전치혈관이 확인되었더라도 자연소실되는 경우도 있으므로 제3삼분기에 전치혈관에 대한 재평가가 권장됩니다.

    그림 2. 전치혈관. from ISUOG practice guidelines

Reference
Khalil A, Sotiriadis A, D'Antonio F, Da Silva Costa F, Odibo A, Prefumo F, Papageorghiou AT, Salomon LJ. ISUOG Practice Guidelines: performance of third-trimester obstetric ultrasound scan. Ultrasound Obstet Gynecol. 2024 Jan;63(1):131-147.

서울시 서초구 반포대로 222, 서울성모병원 본관 9층 산부인과의국 내

Copyright (c) by Korean Society of Ultrasound in Obstetrics And Gynecology All rights reserved