NEW CONCEPT & HOT TOPIC
태아 비뇨생식기가 비정상으로 보일 때 감별진단
김리나 (제주의대)
1. 임신 초기
- A. Enlarged bladder
-
- : Bladder임을 확인하는 첫번째 방법은 umbilical arteries를 Doppler flow로 확인하는 것입니다.
- : Bladder의 longitudinal diameter가 7 mm 이상이면 megacystis라 명명합니다.
- : 15 mm 이상으로 보이면 Lower urinary tract obstruction (LUTO)를 강력히 의심합니다.
-
①LUTO
-
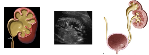
Posterior urethral valves: 남아, Key hole sign이 중요한 clue입니다. 정상 urethra에는 없는 valve가 prostate가 끝나는 지점에 존재하여 urine이 빠져나가지 못해 prostate urethra부터 bladder까지 dilation이 되는 질환입니다. 주수가 지날수록 악화되어 hydronephrosis를 동반하기도 합니다.
-
Congenital megalourethra: 남아, Sausage-shaped penile urethra가 중요한 clue입니다. Penile meatus의 apoptosis가 지연되어 penile urethra부터 bladder까지 dilation이 되는 질환으로 저절로 좋아지는 경우도 있습니다.
-
Urethral atresia: 여아, urethra가 완전히 막히는 경우에 해당하여, anhydramnios를 동반하여 예후가 매우 나쁜 것으로 알려져 있습니다.
-
②Cloacal malformation: 여아, Cloaca가 임신 9주경부터 urorectal septum이 생기면서 분화를 해야하는데 이 발달과정이 실패하여 genital, urinary, gastrointestinal tracts이 한 구조물로 남아있게 되는 질환입니다.
2. 임신 중기
- A. Dilated renal pelvis
-
- : Renal pelvis가 늘어나 보인다면, urinary tract dilation (UTD)를 아울러 생각해야 합니다.
- : UTD는 kidney의 antero-posterior renal pelvic diameter (APRPD)를 측정해야 하며, 정상 범위는 28주 미만에서 4 mm 미만, 28주 이상에서는 7 mm 미만이어야 합니다. 다음 그림과 같이 fetal spine을 probe에 가깝게 두고 양측 kidneys의 APRPD를 측정하는 것이 가장 올바른 방법입니다.
-
①UTD: tract 중 어디 부위에서 문제가 생겼느냐에 따라 초음파 소견이 조금씩 다릅니다.
-
Posterior urethral valves: 남아, Key hole sign이 중요한 clue입니다. 정상 urethra에는 없는 valve가 prostate가 끝나는 지점에 존재하여 urine이 빠져나가지 못해 prostate urethra부터 bladder까지 dilation이 되는 질환입니다. 주수가 지날수록 악화되어 hydronephrosis를 동반하기도 합니다.
-
Congenital megalourethra: 남아, Sausage-shaped penile urethra가 중요한 clue입니다. Penile meatus의 apoptosis가 지연되어 penile urethra부터 bladder까지 dilation이 되는 질환으로 저절로 좋아지는 경우도 있습니다.
-
Urethral atresia: 여아, urethra가 완전히 막히는 경우에 해당하여, anhydramnios를 동반하여 예후가 매우 나쁜 것으로 알려져 있습니다.
-
②Duplex collecting system/ureterocele (5-7%)
: 초음파 소견으로, 95th percentile in length 이상으로 커진 duplicated kidney는 dilated upper pole과 bladder내 cystic mass를 동반하여 관찰됩니다.

- B. Multicystic kidneys
-
-
①Multicystic dysplastic kidney (MCDK): multiple noncommunicating cysts를 가지고 있으며, 90% 이상에서는 nonfunction을 하고 있어 bilateral MCDK일 경우, 예후가 매우 안 좋습니다.
-
②Polycystic kidney disease (PKD): autosomal recessive와 dominant 타입이 있으며, 이 두 타입은 초음파로는 감별이 어렵습니다. 매우 작은 cysts가 kidney 전체에 있으며, stillborn or neonatal death의 나쁜 예후를 가지고 있습니다.
-
C. Invisible kidney
-
-
: 다음의 그림과 같이 sagittal view에서 renal fossa가 비어 있어 adrenal gland의 위치와 모양이 바뀌어 lying-down appearance를 관찰할 수 있습니다. 그 외 반대편 kidney는 hypertrophy해 보이며, coronal view에서 renal artery가 한 쪽이 없음을 같이 관찰할 수 있습니다.
-
D. Ambiguous genitalia
-
-
: 15-16주에 clitoromegaly or hypospadias로 애매하게 보일 수 있습니다. 이는 22-26주에 명확해지는 것이 대부분입니다.
-
①Hypospadias: urethral orifice의 위치가 비정상일 때를 일컫습니다. 초음파 소견으로, loss of the pointed tip of penis, abnormal ventral curvature of the penis, small penile shaft, tulip sign이 관찰된다면 의심할 수 있습니다.
-
②Congenital adrenal hyperplasia: 21-hydroxylase deficiency로 인해 genital virilization을 보이는 질환으로 genitalia만으로 성별을 감별하기 어려울 수 있습니다.
- 참고문헌
-
- Diagnostic Imaging: Obstetrics, 3rd edition
- Callen’s ultrasonography in Obstetrics and Gynecology 6th edition
- Nature reviews urology, Valentina et al., 2022
- Journal of Pediatric Urology, Prashant et al., 2021